Lihat

Indeks

肺がん ステージ4 余命|症状・治療・生存率を徹底解説

肺がん ステージ4 余命|症状・治療・生存率を徹底解説

「肺がん ステージ 4 余命」という言葉を検索されている方の多くは、ご本人やご家族が深刻な状況に直面していることでしょう。ステージ4の肺がんは、がんが肺の外へ広がり、他の臓器に転移している進行段階を指します。かつては極めて厳しい予後とされてきましたが、近年は医療技術の進歩により、生存期間や生活の質(QOL)は確実に改善しています。…
肺がん 原因を徹底解説 発症メカニズムから予防・最新治療まで完全ガイド

肺がん 原因を徹底解説 発症メカニズムから予防・最新治療まで完全ガイド

肺がんは世界的に死亡率の高いがんの一つであり、日本においても主要ながん死因の上位を占めています。特に近年は高齢化の進行や生活習慣の変化に伴い、発症数が増加傾向にあります。「肺がん 原因」を正しく理解することは、発症リスクの低減や早期発見につながる重要な第一歩です。喫煙との関連は広く知られていますが、実際にはそれ以外にも多様な要因が関与しています。…
肺がん ステージ 4とは?症状・治療法・生存率・最新研究まで徹底解説

肺がん ステージ 4とは?症状・治療法・生存率・最新研究まで徹底解説

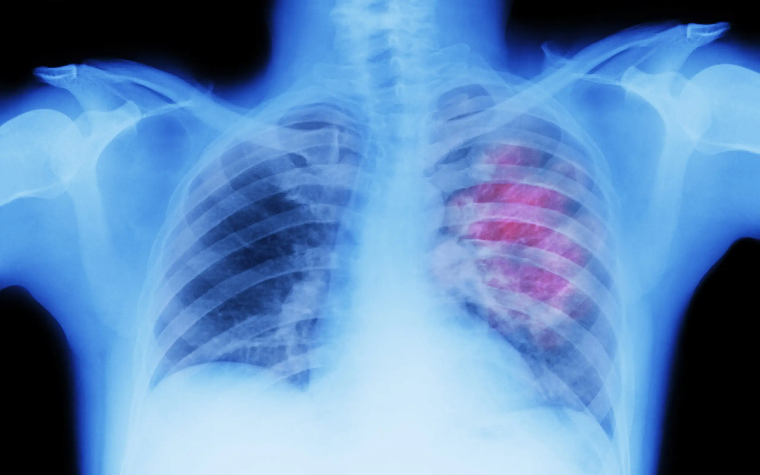
肺がんは日本におけるがん死亡原因の上位を占める重大な疾患であり、その中でも肺がん ステージ 4は最も進行した段階を指します。ステージ4と診断されると、多くの患者さんやご家族が強い不安を感じますが、近年は医療の進歩により治療選択肢が大きく広がっています。分子標的治療薬や免疫チェックポイント阻害薬の登場により、従来よりも長期生存が期待できるケースも増えています。…
肺がん 症状 初期サインから治療・予防まで徹底解説

肺がん 症状 初期サインから治療・予防まで徹底解説

肺がんは、日本におけるがん死亡原因の上位を占める重大な疾患です。特に「肺がん 症状」は初期段階では目立ちにくく、風邪や気管支炎と誤認されやすいことから、発見が遅れるケースも少なくありません。そのため、早期警告サインを正しく理解し、適切なタイミングで医療機関を受診することが極めて重要です。…